top of page
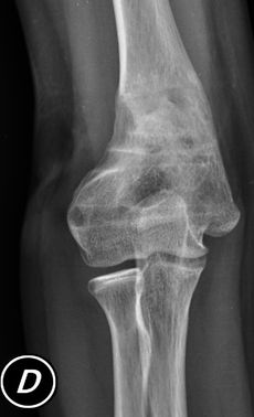
Secuela Fractura Supracondílea de Húmero
Corrección progresiva con tutor hexápodo
Paciente de 12 años. Cuatro años previo a la consulta, presentó una fractura alrededor del codo derecho. A pesar de haberse realizado una cirugía, evolucionó con una deformidad evidente de su extremidad superior. Como alternativa de tratamiento, se propuso una osteotomía a través de una peque inicisión, y corrección progresiva con tutor externo. Esto le permitió mantener la movilidad del codo durante todo el tratamiento. El resultado funcional y estético fue excelente.
bottom of page










